关于eCO2点阵激光
eCO2激光点阵式二氧化碳激光,将二氧化碳激光呈喷洒状大量的照射到皮肤上,利用皮肤收缩和愈合伤口的能力,促进皮肤细胞的更替,从而使皮肤纹理更紧致、更光滑。
通过使用「点」而不是「面」的光束,可以在不影响治疗效果的情况下,将伤害降到最低。

eCO2点阵激光的特点
这是在点阵激光中,面向亚洲人的皮肤进行了改进的新型号,旨在将出血和色素沉着的风险降到最低。由于其他的二氧化碳点阵激光恢复期长而决定不再继续的人,也欢迎尝试这种治疗。通过多次的治疗,皮肤会变得越来越光滑皮肤质感也会变好。
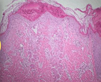
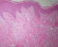
eCO2皮肤再生过程
下图显示了照射后皮肤的横截面。 最左边的一张刚刚进行了照射,在表皮以及真皮深层出现了尖而深的微孔。 但是能控制微孔在非常细小的范围,所以仍然是健康的皮肤。
紧接着微孔开始修复,2天后微孔由再表皮化作用下被填满,纤维细胞活性被激活。14天后可以看到皮肤完全恢复了。在伤口愈合的过程中,胶原蛋白的数量也会增加。

- eCO2照射过后通过点状照射,两个微孔之间的健康组织得以保留并促进皮肤再生。

- eCO2照射后2天真皮层的胶原蛋白再生,并开始填补微孔。

- eCO2照射后14天皮肤已经完全更新。胶原蛋白的数量也有所增加。
eCO2点阵激光治疗的流程
-
咨询
医生会说明治疗的方法和内容,经过充分的咨询后,将决定适合您症状和期望的治疗。
-
清洁・麻醉
清洗面部,包括治疗部位和周围区域,彻底清除彩妆、皮脂和其他污垢。然后涂抹麻醉膏,让其渗透20-30分钟。
-
照 射
进行eCO2激光照射。根据不同的区域,照射时间大约为10-30分钟左右。每一发都有发热刺痛的感觉,但在麻醉状态下,疼痛是可以忍受的程度。
-
冷 却
照射区被好好地冷却,镇静。 如果有需要,可以在这之后导入生长因子等物质,以进一步加强皮肤再生和恢复损伤的能力。 可以涂抹软膏以减轻炎症和肿胀
-
事后护理
在治疗后当天,及之后请尽量不要洗脸和化妆。 在红肿和脱皮现象消退之前,避免摩擦或做任何可能刺激治疗部位的事情,并按照医生的指示涂抹指定的药物。 另外,请好好地在该区域涂抹防晒霜。
eCO2激光的治疗效果
因为能到达皮肤深层,所以对 「痤疮」、「细纹」、「毛孔粗大」和 「肤质改善」,以及更深层的 「皱纹·下垂」、「痤疮疤痕」、「疤痕」和 「妊娠纹」等都能产生明显的效果。
推荐给那些希望以最少的疗程数获得最强效果的人,或者那些对其他治疗方法不完全满意的人。
关于eCO2激光的费用
※自费医疗,不在保险范围内。
| 疗程名称 |
费用(不含税) |
| 1次 |
2次以后 |
3次套餐 |
5次套餐 |
| eco2(全脸) |
- |
100,000日元 |
180,000日元 |
262,500日元 |
| eco2(鼻部) |
- |
42,000日元 |
93,000日元 |
131,250日元 |
| eco2(鼻部+面颊 中心区域) |
- |
63,000日元 |
126,000日元 |
157,500日元 |
| eco2(两颊) |
- |
73,500日元 |
157,500日元 |
210,000日元 |
eco2(全脸) +生长因子导入 |
45,000日元 |
116,000日元 |
228,000日元 |
342,500日元 |
eco2(鼻部) +生长因子导入 |
- |
48,000日元 |
111,000日元 |
161,250日元 |
eco2(鼻部+面颊 中心区域) +生长因子导入 |
35,000日元 |
69,000日元 |
144,000日元 |
187,500日元 |
eco2(两颊) +生长因子导入 |
- |
79,500日元 |
175,000日元 |
240,000日元 |
| 麻醉 |
全脸 10,000日元 |
部分 5,000日元 |
常见问题(关于美容治疗)
接受了eCO2的强效治疗恢复期是2~3周,通常情况下强烈发红4~5天,变淡的红晕完全消退,脱皮和细小的结痂剥落到消失是2周时间。
治疗后的第二天可以化妆。治疗后发红很厉害的时期,可以用遮瑕膏遮盖住。
接受治疗的部位会有干燥干裂的感觉,几天后会开始脱皮,皮肤会细细地剥落,但大多数情况下能用遮瑕膏遮盖,可以一边上班一边治疗。所以治疗范围小的话应该不会造成困扰。
因为有一处比较突出的伤疤,想要接受eCO2治疗,即使只做1次也会有效果吗?
1次治疗的效果在一定程度上可以感受到,但伤疤的受伤程度要深得多,因此改善也更困难。
另外,在1次治疗中,只有约全体15%的皮肤细胞被更换,因此想要更换100%的皮肤细胞的话,需要进行反复治疗。 推荐考虑5个疗程的治疗。 (在1次较强的治疗中能达到强劲的效果,但对于日本人来说会造成严重的恢复期,并有留下色素沉着的风险,所以不太推荐。 如果以一定的强度进行治疗的话,也至少需要做3次)。
进行1次eCO2治疗就能使缝合痕迹上的凸起改善很多吗?
对eCO2的凸面治疗效果抱有一些疑问,请回答一下。
点阵激光治疗(eCO2是同类激光中最强力的一种),为了使伤口不留痕迹地愈合并成功地进行皮肤更替,采用的治疗方式是通过激光故意在皮肤上造成细小的、像淋浴一样的伤口。
因此,由于治疗的性质,更替的皮肤最多只占照射区的15-20%,1次治疗可更换的皮肤量很少。虽然1次治疗比其他模式更容易看到改善,但如果期望值太高,极有可能效果并不如预期的那么好。
对于有明显凹凸的疤痕,至少需要3次以上,通常是5次,才能达到使其不明显令人满意的水平。如果是局部的治疗,恢复期的问题就比较小,可以的话建议您尽可能分几次治疗。
鼻子下面有一道线状的缝合疤痕,这让我很困扰。大约有1mm宽,5mm长。
我想接受eCO2的治疗,5mm见方的情况下费用是多少?
最便宜的部分治疗收费是10,500日元。
由于治疗会有疼痛,部分皮肤表面涂抹麻醉,将需要额外支付5,250日元。
与其他类似的治疗机器相比,即使只进行1次治疗,也能更容易感觉到效果。但如果是缝合的疤痕的话,大多是需要经过多次治疗后疤痕才逐渐变得不明显。
已经使用了CO2RE深层模式照射了60mj,但我希望能以尽可能高的输出量进行照射。 能允许的出力是多少?
每台机器的照射机制不同,所以无法比较不同机器的强度,但50-60mj应该被认为是最大值。 随着照射出力的增加,出现色素沉着的风险也会增加。
即使在其他诊所接受治疗或是第1次来我们诊所的患者,在您同意的情况下,强度也可以提高。
关于eCO2,在治疗过程中是否有任何疼痛? 虽说第二天可以化妆,但有没有人在化妆后出现了炎症或新的情况? 有什么方法可以迅速消除治疗后的发红吗?
您说担心恢复期,根据治疗的强度,标准治疗会导致面部发红4-5天。 之后,皮肤会有细微的脱皮和细小的结痂感。
从第二天起,可以使用治疗用遮瑕膏,如果好好遮盖,则可以掩盖住。
皮肤稍微会有一些干燥粗糙,如果平常化淡妆的人,会觉得这次妆感有些厚重。
第二天起就可以化妆,但请尽量选择低刺激性的产品,并注意不要强力涂抹或擦拭。 如果这样注意去做,那么化妆不太可能造成困扰。
至于发红,或多或少会出现,持续数天。
为了帮助皮肤尽可能地恢复,提高皮肤的再生效果,引入生长因子也是有效的选择,当天回家后,可以在家里用冰袋冷却皮肤,以帮助第二天皮肤恢复的快一点。
另外,即使只做1次治疗,你也能感觉到一些效果,由于某些原因难以来医院,且已经做好有长久恢复期的觉悟,那么可以在1次治疗中提高强度,除去特殊情况,通常治疗需要3-5次,如果担心恢复期,还有一种比较温和的叫做”Affirm Multiplex “的点阵激光,或者是叫做 “FNS “的可以让皮肤再生的微针治疗。