12q24.31-q24.33. を使用すると、以下のように自動的に実行されます。
Jaime Lin1,2, Gigliolle Romancini de Souza-Lin1,3, Fernanda Coan Antunes1,
Letícia Burato Wessler2, Emílio Luiz Streck2, Cinara Ludvig Gonçalves2
1Universidade do Sul de Santa Catarina, Tubarão, SC, Brazil.
2Universidade do Extremo Sul Catarinense, Criciúma, SC, Brazil.
3Hospital Nossa Senhora da Conceição, Tubarão, SC, Brazil.
DOI: 10.31744/einstein_journal/2020RC5335
要約
染色体異常は、世界中でいくつかの先天性奇形の原因となっており、その中にはテロメア/サブテロメアの欠失に関連するものもある。12番染色体のテロメアが関与する異常は稀であり,12q24.31領域が関与する欠失の報告は文献上ほとんどなく,我々の知る限りでは12q24.31-q24.33領域の欠失は4例のみである。我々は,自閉症スペクトラム障害を伴う12q24.31-q24.33バンドの間質性欠失のさらなる症例を報告する。複数の先天異常を伴う全世界的な発達遅滞の2歳男児。ヒトゲノムCGHマイクロアレイ60Kにより,12q欠失症候群と診断された.この研究では、私たちの患者を既報の症例と比較して最新の文献をレビューしました。これらの詳細な分析は、12q欠失の遺伝子型と表現型の相関関係の構築に貢献し、この欠失の診断と予後の改善に役立つと考えられる。
はじめに
大きなゲノム領域の獲得または欠失による遺伝子量の変化は 多くの遺伝子疾患の原因となっている。知的障害、自閉症スペクトラム障害 知的障害、自閉症スペクトラム障害(ASD)などの 表現型を伴うことが多い(1)。
自閉症スペクトラム障害は、以下のような 自閉症スペクトラム障害は 自閉症スペクトラムは、社会的行動や非言語的相互作用の欠如を特徴とする一連の神経発達障害です。社会的行動や非言語的交流の欠如を特徴とする一連の神経発達障害です。社会的行動や非言語的相互作用の欠如を特徴とする一連の神経発達障害である(生後3年以内)。単一の障害ではなく 単一の障害ではなく、大まかに言うと 遺伝的および非遺伝的な危険因子と、それに起因する多因子性障害と考えられています。遺伝的および非遺伝的な危険因子と、それらの相互作用によって生じる多因子性疾患であると広く考えられています。ASDは、非常に複雑で異質な疾患ですが、遺伝性の強い疾患です(1)。
ASDの感受性遺伝子を検出する技術のうち、比較ゲノムハイブリット法(CGH)技術は、ゲノム上のコピー数変異(CNV)を検出するために、ASDの研究や臨床現場で広く用いられている。コピーナンバーバリアントは、遺伝的多様性の重要な源であり、いくつかの神経行動表現型の疾患感受性の原因となっている(2)。
いくつかの先天性奇形の原因となる遺伝子異常の中には、テロメリックまたはサブテロメリック欠失に関連するものがある。その中でも、12q染色体のテロメリック/サブテロメリック欠失は稀であり、これまでに小柄な体格を呈する患者が数人しか報告されていない。染色体12qのテロメリック/サブテロメリック欠失は稀であり、これまでに小さな バンド12q24.31-q24.33の間質性欠失を呈し、他の核型異常を伴わない患者は数例しかいない。(3-6)
我々は、バンド12q24.31-q24.33の間質性欠失を有する患者の一例を報告する。我々は、バンド12q24.31-q24.33の間質性欠失を有する患者の症例を報告し、最新の文献をレビューする。我々は、バンド12q24.31-q24.33の間質性欠失を有する患者を報告し 我々は、12q24.31-q24.33バンドの間質性欠失を有する患者を報告し 12q24.31領域を含む欠失の他のいくつかの症例を含めた既報の症例と比較した。
症例報告
2歳の男児が、多発性先天異常に関連する全般的な発達遅延のため、小児神経学的検査を受けた。
患者は、健康な血縁者(両親は第一度いとこ)の最初の妊娠から生まれた。 妊娠時,母は24歳,父は36歳であった。 流産の既往がなく、処方薬や市販薬の使用報告もなく、妊娠中に催奇形性物質に曝露したこともない。
妊娠は妊娠5か月で超音波で検出された心室拡大により複雑化した。 早産、妊娠7か月、帝王切開出産。 出生時体重は1,720g(<3 centile)、長さは39cm(<3 centile)、後頭前頭周囲(OFC)は31cm(<3 centile)であった。
患者は乳児期早期に4回、肺感染症のため2回、左足の余分な足指の外科的除去と停留精巣のため6か月に1回、水頭症のため8か月に脳室腹膜シャント手術のために最後の1回入院した。
発達マイルストーンの早期の全世界的な遅延が認められた。 彼は生後12か月で頭を上げ、16か月で座った。
現在、24か月時点で、患者は発育不全、体重10.6kg(5パーセンタイル値)、長さ78cm(5パーセンタイル値未満)、OFC 48cm(50パーセンタイル値)を呈している。 身体的特徴は、大きな前泉門および顔面外観のわずかな粗大化に対して有意であった。 鼻は短く、前捻鼻孔と滑らかな菌糸を有していた(図1-A)。 耳は正常に設定され、大きさおよび形状は正常であった。 口蓋は厚いガムで狭かった。 患者はまた、左足に第5指の斜指と多指症を呈した(図1-B、C)。
図1. 多発性先天異常。
(A)顔面のわずかな粗大化,鼻孔の前傾,滑らかな友好性。 耳は正常に設定され、大きさおよび形状は正常であった

神経学的評価は、重度の自己負傷につながる頭部衝突を特徴とする自己攻撃的行動に関連した重度の激越に対して注目すべきものであった。 患者は痙性高緊張と活発な腱反射を呈し、独立して歩くことも話すこともできなかった。
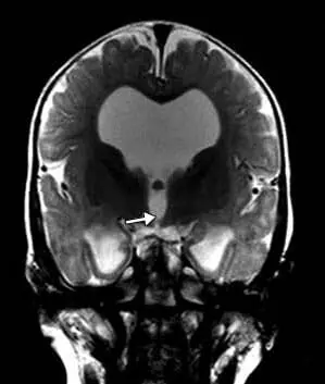
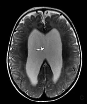
頭部磁気共鳴映像法では、テント上水頭症、視交叉陥凹のバルーニング、薄い脳梁、側脳室および第3脳室の拡張、透明中隔の欠如、および脳の低髄鞘化が明らかになった(図2)。
図2. 磁気共鳴画像法T2強調矢状画像。 脳梁は薄かった。 磁気共鳴画像法T2強調冠状断像。



ヒトゲノムCGHマイクロアレイ60K(Agilent Technologies™)は、ゲノム位置(123.309.075bp)からqアームの近端(132.283.607bp)、arr[NCBI36/Hg18]12q24までの12q24.31の中央から始まる末端欠失を明らかにした。 31-q24.33(123.309.075-132.283.607)X1により12q欠失症候群と診断された。 この試験は、2011年にヒトゲノム研究センター(生物科学研究所-サンパウロ大学)が実施した。
ASDに関連する既知の遺伝性疾患の数は、アレイ比較ゲノムハイブリダイゼーション(aCGH)の使用により増加している。 同様の自閉症認知行動表現型に関連するこのような遺伝的多様性は、「症候性自閉症」または「複合自閉症」(遺伝性疾患/遺伝性症候群に関連する自閉症)の概念を生み出し、この概念は、少なくとも1つの形態異常/奇形または重度の知的障害を有する個人を適格とする。 これは「非症候性自閉症」の概念に反するか、または
「単純性」/「純粋性」/「特発性自閉症(孤立性自閉症)」とは、中等度の知的障害のある人が正常な認知機能を有し、他に関連する徴候や症状がないことを意味する。(2)
このような症候性自閉症症例の遺伝学的検査は、まれな疾患および/または過少報告の疾患の認識につながる可能性がある。 これらの染色体異常のうち、12q24.31-q24.33テロメア/サブテロメアの欠失はまれであり、以前に報告された症例の主な臨床所見を表1に要約する。
著者らの患者は、発達遅延、粗い顔、成長不全、大きな前大泉門、言語発達の遅延、および斜指症など、12q欠失を有する他の患者に提示されたものと一致するいくつかの表現型所見を有する。 両親がいとこであったことを示す研究は1件のみであり、これは我々の患者の病歴でも観察された。 これらの知見は、12q欠失の遺伝子型/表現型相関の発現に詳細に寄与し、追加患者との比較は、この臨床記述に引き続き追加されるであろう。
欠失領域は52個の注釈付き遺伝子を含む。 これらのP2RX2およびACADSの中で、著者らの患者に提示された発達遅延および行動および社会的問題に注目すべきである。
著者情報
Lin J: http://orcid.org/0000-0002-7433-6231
スーザ・リンGR:http://orcid.org/0000-0001-9930-7288
Antunes FC: http://orcid.org/0000-0001-5571-3321
ウェスラーLB:http://orcid.org/0000-0001-6700-0396
ストレックエル:http://orcid.org/0000-0002-2859-4678
ゴンアルベスCL:http://orcid.org/0000-0003-2468-8885
参考文献
- Park HR, Lee JM, Moon HE, Lee DS, Kim BN, Kim J, et al. 自閉症スペクトラム障害の現在の理解に関する短い総説。 Exp Neurobiol. 2016;25(1):1-13. 検討。
- Marshall CR, Noor A, Vincent JB, Lionel AC, Feuk L, Skaug J, et al. 自閉症スペクトラム障害における染色体の構造的変異。 Am J Hum Genet. 2008;82(2):477-88.
- Al-Zahrani J, Al-Dosari N, AbuDheim N, Alshidi TA, Colak D, Al-Habit O, et al. 染色体12q24.31-q24.33の欠失は、多発性の異形特徴および発達遅延を引き起こす:最初のモザイク患者および12q24qter欠損に関連する表現型の概要。 Mol Cytogenet. 2011;4:9.
- ニヤゾフDM、ナワズZ、裁判官AN、トリエロHV、マーティンCL、アダムMP。 12qのサブテロメア欠失を有する2人の患者における遺伝子型/表現型の相関。 Am J Med Genet A. 2007;143A(22):2700-5.
- Plotner PL, Smith JL, Northrup H. Deletion 12q: 12q24.31q24.32欠失を伴う2番目の患者。 Am J Med Genet A. 2003;118A(4):350-2.
- Sathya P, Tomkins DJ, Freeman V, Paes B, Nowaczyk MJ. de novo欠失12q:12q24.31q24.33欠失を有する患者の報告。 Am J Med Genet. 1999;84(2):116-9.
- Baple E, Palmer R, Hennekam RC. 12q24.31の微小欠失は、新生児のウィーデマン症候群に似ている可能性がある。 モールシンドローム。 2010;1(1):42-5.
- Choury E, Choucair N, Abou Ghoch J, El Sabbagh S, Corbani S, Megarbane A. インスリン依存性糖尿病の父から遺伝した12q24.31の微小欠失の患者に関する報告。 モールシンドローム。 2013;4(3):136-42.
- Qiao Y, Tyson C, Hrynchak M, Lopez-Rangel E, Hildebrand J, Martell S, et al. 特発性自閉症および/または知的障害の被験者におけるCNV検出のための2.7M細胞遺伝学アレイの臨床応用 クリン・ジェネット 2013; 83(2):145-54.
- Palumbo O, Palumbo P, Delvecchio M, Palladino T, Stallone R, Crisetti M, et al. 12q24.31の微細化:知的障害、定型、発作および顔面異形を有する女児の報告。 Am J Med Genet A. 2015; 167A(2):438-44. 検討。
表1. 12qテロメア欠失を伴う細胞遺伝学的異常の臨床要約
表1 2p16p21領域を含む欠失の報告例
| 遺伝学的記述 | 参照 | 表現型 |
|---|---|---|
| 46, XY, del (12) (q 24.31-q24.33), モザイク | Al-Zahraniら(3) | 8歳, IGF-1レベルが非常に低い重度の成長遅延, 発達遅延, 顔面形態異常, 低く設定された耳, 短小陰茎を伴う停留睾丸, 肘の変形 |
| 46, XY, 12q subelomeric deletion; 1. | Niyazovら(4) | 8歳、言語発達の遅れ、食物探索行動、注意欠陥多動性障害、高い疼痛閾値、顔面形態異常なし、前第2毛髪の追加、腕十字症。斜視と肥満 |
| 46, XY, 12q subelomeric deletion; 4.5Mb; 22 遺伝子 | 12歳、左停留所、腎異常(多嚢胞性左腎、異所性右腎)。表皮溝、小耳、節目の遅れ、中程度のID、食物探索行動と自傷行為 行動 | |
| 46, XY, del (12) (q24.31q24.32) | Plotner ら(5) | 9か月齢、気管軟化症、不明瞭な生殖器、ダンディウォーカ ー症候群、粗い顔、大きな前フォンタネラ、短い口蓋垂れ。左目の眼瞼下垂、歯茎が厚い、舌が大きい、軽い全身性の 低緊張、二分された陰嚢、両側に触知可能な精巣、小さな陰茎、長い指とpatulousな指先 発育遅延(9か月時には、支えのない座り方、ハイハイ、喃語、クーイングができなかった)。 |
| 46, XY, del (12) (q24.31q24.33) | Sathya ら(6) | 生後 12か月、発達遅延(生後 20か月で発達レベル 10-12か月)、性器異常なし。生殖器異常、小頭症、大きな恥骨の脂肪パッド、仙骨の穴、先細りの指、十二指腸、扁平足の 扁平足、心臓異常(周膜性VSD、軽度の三尖弁逆流、secundum ASD。軽度の両心室および左心房拡張、軽度の三尖弁閉鎖不全症)、大きな球根状の鼻、滑らかな糸状体などの顔面形態異常。顔面形態異常(大きな球根状の鼻、滑らかな糸状体、大きな耳 |
| 46, XX, del (12) (q24.31) | Baple et al. (7) | 13歳、不正咬合、過成長、高インスリン血症、発達遅延(1歳半で歩行、2歳で数語使用可能)、著明な不安症、自閉症スペクトラム障害、中等度から重度の知的障害、口蓋裂、広い鼻底、膨らんだ頬、高度にアーチした口蓋。手足が大きく、指は軽度の先細りで、足指は短く、左第4指は近位に埋没し、第4中手骨は短縮している。 |
| 46, XX, del (12) (q24.31) | Chouery et al. (8) | 2歳、全体的な発達遅延(1歳半の時点で、サポートなしでは座ることができず、ハイハイや喃語もなく、社会的相互作用のスキルが不足しており、反応して微笑むことはほとんどなく、サポートを受けて数歩歩く程度)、乳児痙攣、低緊張、小頭症、扁平顔、膨らんだ頬、巨大舌、高度に弓状になった口蓋、後突症、狭い耳の穴、カフェ・オ・レの斑点、低不整脈 |
| 46, XX, del (12) (q24.31) | Qiao et al.(9) | 8歳、単発性ASD、全世界的な発達遅延、中等度のID、口蓋裂が上向きになっている。滑舌が悪く、耳は小さく、低く、後転しており、鼻根は高く、鼻根部は太く、先端は四角い。顕著な前歯と狭い口蓋、非常に先細りの指と顕著な指先のパッド。爪は両殿部ともに低形成で、斑状の湿疹と厚い魚鱗癬状の皮膚を持ち、以下のように診断されました。T細胞性皮膚リンパ腫(腰部に色素沈着が見られる)。 |
| 46, XX, del (12) (q24.31) | Palumboら(10) | 12歳、身元不明、痙攣、ステレオタイプ、口唇欠損、頬の膨らみ、持続的な卵円孔開存。低血糖症エピソード、生後数か月からの痙性四肢麻痺、全体的な遅れ(2.5歳で歩き始め、言葉を話す) 2.5歳で歩き始め、4歳で話し始める)、第4中手骨の近位埋没を伴う低形成爪 骨を有していました。顔面形態異常は、長楕円形の顔で、口蓋裂が下方にずれており、鼻底が広くて鼻が高いことが特徴でした。鼻根部が高く、口蓋が高く、歯が密集しており、下唇の朱色は完全で常染色体である。耳は大きくて狭く、太いヘリックスを持っています。脳の磁気共鳴画像では 脳室の形成不全 |
| 46, XY, del (12) (q24.31-q24.33) 9Mb | 現在の患者 | 12歳で、発達遅滞、自立歩行や会話ができない、成長不良、大きな前額面 前フォンタネルが大きく、顔は粗く、鼻は短く、鼻孔は反り返っており、舌は滑らかである。狭い口蓋と厚い歯茎、左手の第5指の斜頸、自己攻撃的な行動、痙攣 腱反射が活発である。 |
IGF-1:インスリン様成長因子-I;ID:知的障害;VSD:心室中隔欠損;ASD:心房中隔欠損。
この記事の引用方法
Lin J, Souza-Lin GR, Antunes FC, Wessler LB,
Streck EL, Gonçalves CL. 自閉症関連
12q(12q24.31-q24.33)の欠失を伴う:さらに
非常にまれな疾患の報告 インスタイン
(サンパウロ) 2020;18:eRC5335。 http://dx.doi.org/
10.31744/einstein_journal/2020RC5335
担当著者:
フェルナンダ・コーン・アンチューンズ
医学生物学部
大学社会科学
サンタカタリナスール
アベニダ・ペドロ・ザペリーニ、1,798セントロ
Zipコード: 88701-480 – Tubaro, SC, Brazil
電話: (55 48) 99906-9929
電子メール: fernandacoan@hotmail.com
受領日:
2019年8月18日
受理:
平成29年11月29日
著作権2020
このコンテンツはライセンスされています。
クリエイティブ・コモンズの下で
属性4.0国際ライセンス
中文
