エコー(超音波)検査で胎児の形態異常のチェックが広く行われるようになりました。この検査によって染色体異常にみられる超音波所見を超音波マーカーといいます。超音波マーカーは病的なものをみているとは限りません。
お母さんと赤ちゃんのために
NIPT検査で安心を
詳しくはこちら
胎児超音波マーカー検査とは
エコー(超音波)検査で胎児の形態異常のチェックが広く行われるようになりました。この検査によって染色体異常にみられる超音波所見を超音波マーカーといいます。超音波マーカーは病的なものをみているとは限りません。
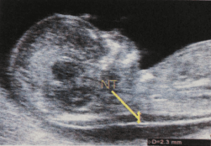
正常胎児にもみられる検査所見ですので、形態異常とは別に考えます。ダウン症候群(21トリソミー)では初期の超音波マーカーでNTと呼ばれる胎児後頭部の皮下浮腫の厚さを測定する検査としておこなわれています。この検査は、出生前診断検査の一つでもあり非確定的検査のひとつです。
検査の時期はいつ?どんな検査?
Q:検査時期はいつ?
妊娠11週0日~13週6日の間でおこなわれます。
Q:どんな検査?
NTとは首の後ろの皮下の厚さをを見る検査です。すべての胎児にあるもので、NTが厚くても胎児が正常か異常かの判別をすることはこの検査だけではできません。また、NTの厚さは胎児の大きさにも関係するので、正確な胎児の頭殿長の測定も重要になります。
Q:何がわかるの?
NTは妊娠初期の限られた時期(11週~13週)に正常・異常に関わらず胎児にみられる所見です。NT自体が、病気というわけではなく妊娠初期特有の胎児の生理的な変化なのです。はじめは肥厚していても週数とともに目立たなくなったり、消失することも多いのです。たとえNTの肥厚が見られたとしても染色体異常疾患とは限らず先天性の心疾患や骨などの疾患が潜んでいる場合もあります。また、NTだけでなく、鼻骨・三尖弁血流・静脈管の血流などの検査も組み合わせておこなう場合もあります。

お母さんと赤ちゃんのために
NIPT検査で安心を
詳しくはこちら
Q:どうしたら検査をしてもらえるの?
NTを見る検査(染色体異常のスクリーニング検査)を希望すると検査できます。
Q:費用はどのくらい?
医療施設によって異なりますが1万円~2万円で受けることができます。
Q:基準となる値はどのくらい?
3.5mm未満といわれています。基準値に従って正確に測定されたNTが6mmあったとしても元気な赤ちゃんである確率は50%あります。
Q:NTが6mm以上で心配な場合はどうする?
あくまでも妊娠初期の胎児超音波マーカーですので、非確定的検査の一つにすぎません。疾患の可能性が高い場合は確定診断の絨毛検査や羊水検査をおこないます。
胎児超音波マーカー検査

お母さんと赤ちゃんのために
NIPT検査で安心を
詳しくはこちら
エコー(超音波)検査で胎児の形態異常のチェックが広く行われるようになりました。この検査によって染色体異常にみられる超音波所見を超音波マーカーといいます。超音波マーカーは病的なものをみているとは限りません。
記事の監修者
岡 博史先生
【役職】
【資格】
【略歴】
【所属】
【SNS】
中文

